Click on a service below for more information.
“Dr Sydney and staff were amazing, she new exactly what was causing my tooth pain and fixed it. I would recommend everyone going to the office. The whole staff was wonderful, from the girls up front to everyone you see in the back!” —Kim
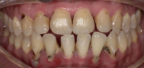
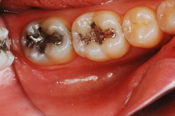
Our practice strives to give you quality care in basic general dentistry. Routine care typically entails biannual cleanings and check-up appointments with early diagnosis of abnormal soft tissue changes, TMJ disorders, gum disease, decay and broken teeth.
Common procedures offered in our practice are as follows:
.jpg?token=3f7888a519186e1f2f687af6f96c2854)
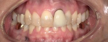
Before
.jpg?token=2d922b933abe625d54105ee6985c91fc)
After
.jpg?token=fdb179cd0ed9c2d23560696e66f3d21a)
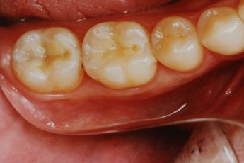
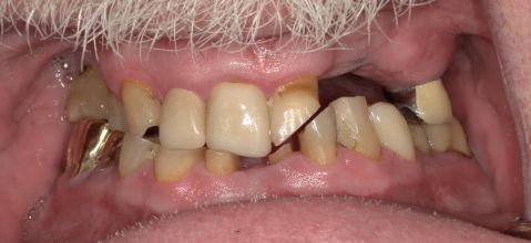
Before
.jpg?token=e0914828eba0a34fbbffce3301c1dfa8)
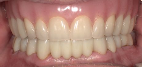
After
.jpg?token=f839306084ba7dfab113f7efe72596f5)
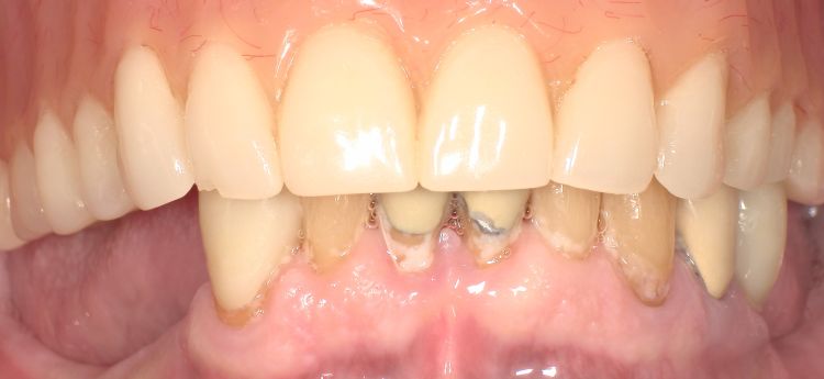
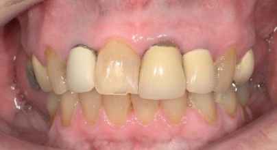
Before
.jpg?token=4ad7d264cefe8ae1ffb763f3ad25e8b0)
After
.jpg?token=1089651220b94a7cc4800bdd94e09988)
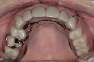
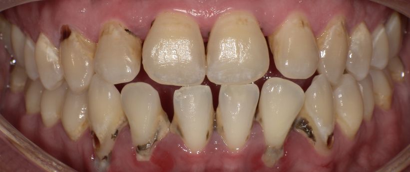
Before
.jpg?token=f9aa8adad443481fb392bf1ef1bebc34)
After
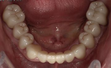
.png?token=70b518be75a4983cfefc9f455a1597af)
Before
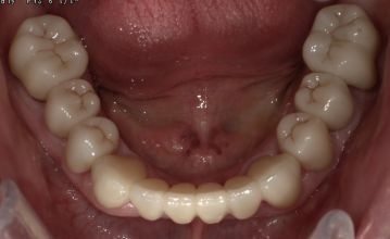
.png?token=70b518be75a4983cfefc9f455a1597af)
After
.jpg?token=1ff269e27f168f32b0f32e64560e8cd6)
Before
.jpg?token=c44243d14add6db0cbfab2c7761176b2)
After
.jpg?token=72d2774f188468344f4045347cd19e81)
Before
.jpg?token=3c154a111598a79f79d0331b76c5782d)
After
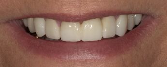
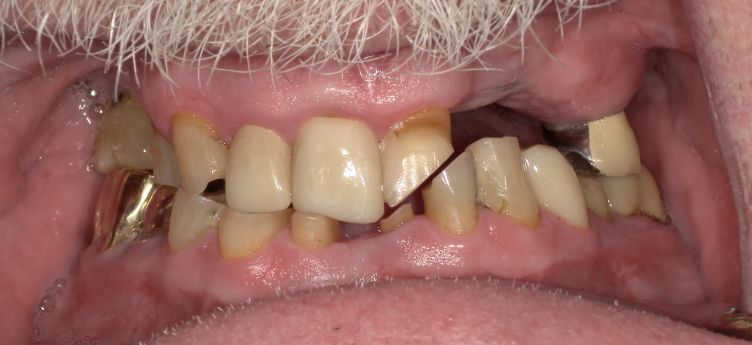
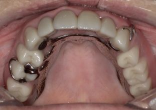
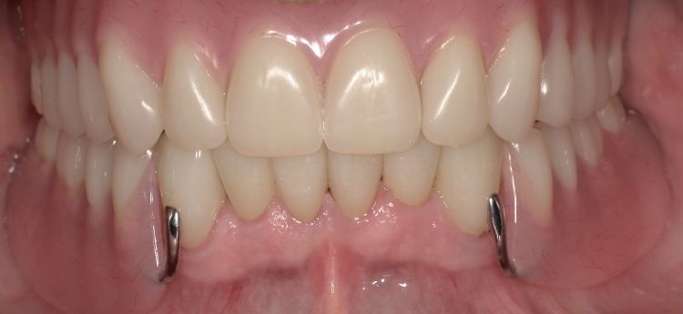
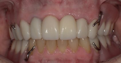
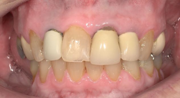
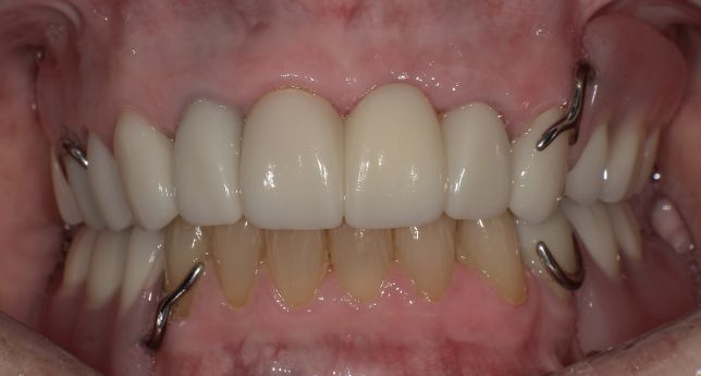
People no longer have to fear transitioning to a loose floppy denture or replacing one front tooth with a removable partial. Dental implants are replacement tooth roots.
They are titanium and designed to fuse with bone, making them permanent replacements for missing teeth. Implants provide a strong foundation for permanent or removable replacement teeth that are made to match your natural teeth. They offer increased appearance, improved speech if replacing a missing front tooth or retaining dentures, easier eating, and improved self-esteem.
Before
After
.jpg?token=d870123b8a56c8038bff3db479675e9b)
.jpg?token=76857896ea12329b555015065a78b641)
.jpg?token=7da2bcdb6039cb050f3dce423d100a85)
.jpg?token=1cd1db99b2d6885063f8e1efb172b919)
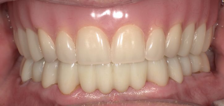
Invisalign® takes a modern approach to straightening teeth, using a custom-made series of aligners created for you and only you. These aligner trays are made of smooth, comfortable, and virtually invisible plastic that you wear over your teeth.
Wearing the aligners will gradually and gently shift your teeth into place, based on the exact movements your dentist or orthodontist plans out for you. There are no metal brackets to attach and no wires to tighten. You just pop in a new set of aligners approximately every two weeks, until your treatment is complete.
You’ll achieve a great smile with little interference in your daily life. The best part about the whole process is that most people won’t even know you’re straightening your teeth.
.png?token=9faadc2316ca1a09c7ee564d30364ab3)
Washing away of the tops of your teeth through abrasion or erosion is a serious problem contributing to tooth loss. Do you have worn or chipped teeth, joint or jaw pain? Do you grind or clench your teeth? One of the most common causes of TMJ pain is malocclusion, an improper fit of the lower teeth against the upper teeth. A comprehensive exam of your tooth position and the way your teeth fit together (occlusion) and the functioning of your jaw joints (temporomandibular joint) allows the dentist to diagnosis any chewing system disharmony. Rehabilitation allows the dentist to create harmony between any facet of the chewing system allowing your teeth to be restored to their optimal shape creating a youthful, unworn, functional smile.
.jpg?token=449703a9233d91a83e53926090f19e0e)

.png?token=d1ab50fcf24e9c7e205ee1b33dc79080)

To give your child a healthy start in life, it is imperative to take care of their gums and teeth. Regular dental visits should begin at the eruption of the first tooth, but no later than their first birthday.
This can keep children from suffering tooth decay and pain. During your child’s first dental visit, the dentist will check both the teeth and gums, hygiene, tooth alignment, and bite abnormalities that may be the result of thumb and finger sucking or pacifiers.
.png?token=9faadc2316ca1a09c7ee564d30364ab3)
Do you feel sluggish during the day? Does your bed partner complain of loud snoring? Do you wake yourself up in the middle of the night gasping for air?
If so, you may struggle with a partial or complete obstruction of the upper airway due to either snoring or obstructive sleep apnea. Dentists can work comprehensively with our sleep and primary care physicians to treat obstructions with an oral appliance, advancing your lower jaw forward while you sleep.
.png?token=9faadc2316ca1a09c7ee564d30364ab3)